Skip to main content

Терапевтична стоматологія — здорові зуби на довгі роки

Широкий спектр послуг: від професійного чищення до реставрації зубів із застосуванням сучасних фотополімерних матеріалів. Швидка діагностика, якісне лікування.

Преміум обладнання

Air Flow EMS Швейцарія, візіограф та сучасні фотополімерні матеріали.

Команда експертів

Досвідчені стоматологи-терапевти з багаторічною практикою.

Комфорт та безпека

Безболісне лікування, стерильність, комфортні умови прийому.

Про послугу

Терапевтична стоматологія — це основа здоров’я ваших зубів. У нашому центрі ми використовуємо найсучасніше швейцарське обладнання Air Flow EMS для професійного чищення зубів та цифровий візіограф для точної діагностики. Наші спеціалісти забезпечують повний спектр терапевтичних послуг — від професійної гігієни до складних реставрацій з використанням преміальних фотополімерних матеріалів. Ми застосовуєми сучасні методи знеболення, що робить лікування максимально комфортним. Кожен пацієнт отримує індивідуальний план лікування та детальні рекомендації з догляду за порожниною рота.

Основні послуги нашої клініки:

  • професійне чищення зубів Air Flow EMS;

  • лікування карієсу та його ускладнень;

  • ендодонтичне лікування (лікування каналів);

  • художня реставрація зубів;

  • цифрова діагностика візіографом;

  • профілактика та гігієна порожнини рота;

  • лікування захворювань ясен.

Довірте здоров’я ваших зубів професіоналам — ми зробимо вашу усмішку красивою!

Як ми працюємо

  • Консультація стоматолога + огляд порожнини рота
  • Цифрова діагностика за допомогою візіографа
  • Складання індивідуального плану лікування
  • Проведення лікування з сучасними матеріалами
  • Рекомендації з догляду та профілактики

    Сучасні технології

    Професійне чищення Air Flow EMS

    Швейцарська система Air Flow EMS забезпечує ефективне та безпечне чищення натуральних зубів, коронок та вінірів від нальоту та пігментації.

    Візіограф для діагностики

    Цифровий рентген-апарат з високочутливими рецепторами для миттєвої діагностики стану зубів без плівкових знімків.

    Фотополімерні матеріали

    Сучасні фотополімерні композитні матеріали для естетичних реставрацій з тривалим терміном служби.

    Консервативне лікування

    Безболісне лікування карієсу, пульпіту та періодонтиту з використанням сучасних анестетиків.

    Ендодонтичне лікування

    Сучасне ендодонтичне лікування кореневих каналів з використанням ротаційних інструментів.

    Естетична реставрація

    Художня реставрація зубів для відновлення форми, функції та естетики усмішки.

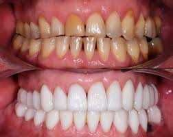
    Результати до/після

      Результати індивідуальні та залежать від стану зубів

      Прайс-лист

      Медичний огляд

      300

      грн без ПДВ
      Медичний огляд з КТ

      500

      грн без ПДВ
      Пломба

      від 1000

      грн без ПДВ
      Профілактична гігієна

      1 500

      грн без ПДВ
      Первинне ендодонтичне лікування

      від 1 600

      грн без ПДВ
      Повторне ендодонтичне лікування

      від 2 500

      грн без ПДВ
      Реставрація зуба

      від 1 900

      грн без ПДВ
      Девіталізація

      від 700

      грн без ПДВ
      Коффердам (система ізоляції зуба)

      300

      грн без ПДВ
      Постійне пломбування каналу

      від 700

      грн без ПДВ
      Тимчасове пломбування каналу

      500

      грн без ПДВ
      Тимчасова пломба

      200

      грн без ПДВ
      Механічна та медикаментозна обробка каналу

      500

      грн без ПДВ
      Візіограф

      200

      грн без ПДВ
      Анестезія провідникова

      200

      грн без ПДВ

      Відгуки пацієнтів

      Олена, 32 роки

      ⭐⭐⭐⭐⭐

      Чудове чищення Air Flow! Зуби стали білішими, процедура безболісна.

      Андрій, 28 років

      ⭐⭐⭐⭐⭐

      Вилікували карієс швидко та якісно. Пломба тримається вже рік!

      Марина, 35 років

      ⭐⭐⭐⭐⭐

      Професійні лікарі, сучасне обладнання. Лікування пройшло комфортно.

      Середній рейтинг: 4.9 ⭐

      Поширені запитання

      Чи боляче робити професійне чищення?

      Ні, чищення Air Flow абсолютно безболісне та безпечне для емалі зубів.

      Як часто потрібно робити чищення зубів?

      Рекомендується робити професійне чищення кожні 6 місяців для підтримки здоров’я зубів.

      Скільки служать сучасні пломби?

      Сучасні пломби служать 5-10 років при правильному догляді та регулярних оглядах.

      Запишіться на консультацію

      Заповніть форму — наш фахівець проконсультує вас безкоштовно телефоном.